I – RAPPELS ANATOMIQUES La Main
– Métacarpe
– Phalanges
Métacarpe : Il est formé de 5 os longs, pair et non symétriques. Les métacarpiens ont un corps prismatique concave en avant. La base proximale est volumineuse et le tête distale est arrondie et convexe.
Phalanges : Elles prolongent les métacarpiens et forment le squelette des doigts.
- – Phalange proximale
- – Phalangine
- – Phalangette
- II – TECHNIQUES ET MATERIELS UTILISES
- – Petit foyer
- – Distance Foyer Film (DFF) 1m
- – Format des cassettes 18*24 ou 24*30
- – Ecrans à grains fins
- – Films mono-couches
- – Diaphragmes
- – Cône
- – Lettres de côtés
- – Identification
- – En direct
- – Constantes : 45 kV 5 mAs
- – Cotation: Z=15
- – INCIDENCES FONDAMENTALES
FACE
- – Patient assis parallèlement à la table (pour protéger les genoux)
- – L’avant-bras repose sur la table pomme de la main à plat sur la cassette
- – Les doigts sont légèrement écartés
Pouce en semi-abduction

RAYON DIRECTEUR
– – Centré sur la tête du 3ème méta
– – Parallèle au film
– – Sac de farine sur les dernières phalanges pour éviter de les « griller »
CRITERES DE REUSSITE
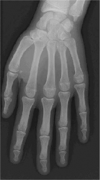
– – Voir l’ensemble de la main
– – Les méta et les phalanges doivent être bien individualisés
– – Voir les parties molles, la corticale, la médullaire.
– – Voir les interlignes métacarpo-phalangiennes et inter-phalangiennes
ANATOMIE RADIOLOGIQUE
– – Les os sésamoïdes
– – Le 2ème méta est le plus long
– – Le pouce est vue de | sur l’incidence de la main de face
IMAGE NORMALE

OBLIQUE
Ou 3/4
– – Assis de la même manière
– – Inclinaison de 45° de la face palmaire de la main par rapport au plan d’appui
– – Maintenir la main semi-abduction avec une cale

– – Centré sur la tête du 3ème méta
CRITERES DE REUSSITE
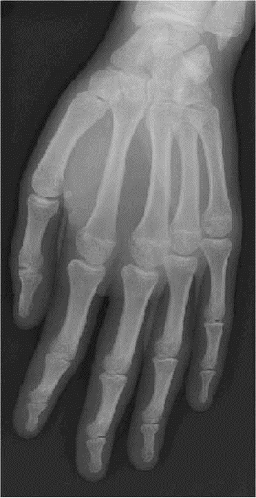
– – Vue en totalité de la main
– – Doigts bien individualisés
– – Seuls les métas sont à peine superposés
– – Différenciation Corticale/Médullaire (C/M) ANATOMIE RADIOLOGIQUE

IMAGE NORMALE

– INCIDENCES COMPLEMENTAIRES
PROFIL
Utile en traumatologie (en pré-opératoire et en postopératoire)
On doit avoir une superposition parfaite des méta sauf celui du pouce pour juger d’un éventuel décalage antérieur ou postérieur.
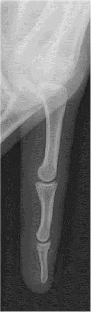
LES DOIGTS
PROFIL
TECHNOLOGIE
– – Identique à celle de la main
CRITERES DE REUSSITE
– – Voir les 3 phalanges
IMAGE NORMALE

DE BREWERTON
– – Sur une Polyarthrite rhumatoïdes
– – Exploration des articulations inter- phalangiennes
– – Debout
– – Supination de la main
– – En faisant des inclinaison plus ou moins importante de la main afin d’avoir en plusieurs expositions toutes les articulations inter- phalangiennes.
LE POUCE
FACE OU COLONNE DU POUCE
– – Patient assis
– – Pouce en rectitude de l’avant-bras
– – Rotation interne de la main autour du radius. La face dorsale de la main doit être à 60° de la table
– – Le pouce et le métacarpien reposent à plat sur le film
RAYON DIRECTEUR
– – Il est centré sur l’articulation métacarpo- phalangienne

CRITERES DE REUSSITE
- – On doit avoir la totalité du pouce, de la 2ème phalange à la base du radius/cubitus
- – Le trapèze, le 1er méta et les 2 phalanges doivent être en rectitude
- – Différenciation C/M
- – On doit voir l’articulation trapézo- métacarpienne
VARIANTE
- – Dorso-palmaire
PROFIL

- – Main en pronation
- – Pouce écarté
- – Poing fermé
- – Le pouce doit être en rectitude avec l’avant- bras pour voir le scaphoïde et le trapèze
RAYON DIRECTEUR
- – Centré sur l’articulation métacarpo-phalangienne
- – Voir des phalanges au scaphoïde
- – Les 2 condyles de la phalange et du méta sont superposés
ANATOMIE RADIOLOGIQUE
OBLIQUE OU 3/4
- 1- Articulation trapezo- métacarpienne
- 2- Métacarpien
- 3- Sésamoïde
- 4- 1er phalange
Sur une main de face
CICHES EN STRESS
– – Acte médical
– – Inflexion latérale Droite et gauche Forcée, de face
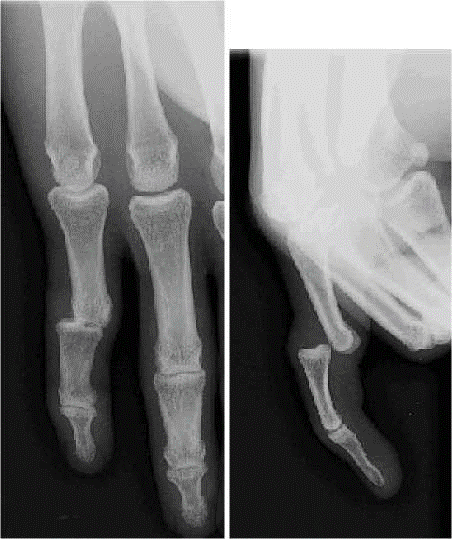
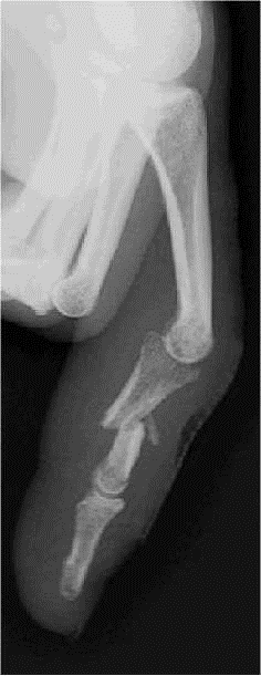
- – QUELQUES IMAGES PATHOLOGIQUES
LUXATION DE L’ARTICULATION INTER-PHALANGIENNE PROXIMALE

FRACTURE D’UNE PHALANGE

FRACTURE DE LA BASE DU 5ième METACARPIEN


















