I – RAPPELS ANATOMIQUES “Le Rachis Cervical”
Les vertèbres cervicales sont au nombre de 7. De C3 à C7, elles ont des apophyses transverses qui sont bifides.
C1 ou atlas : Elle possède 2 masses latérales, en avant pour former le tubercule antérieur ou arc antérieur, en arrière l’arc postérieur. Il s’articule avec le crane par les condyles occipitaux (ou cavités glénoïdes). Sur sa face antérieure et interne se trouvent les surfaces articulaires.
C2 ou axis : C’est l’apophyse odontoïde qui s’articule avec l’articulaire antérieure de C1 en avant et le ligament transverse en arrière
II – TECHNIQUES ET MATERIELS UTILISES
– – Ecrans standards ou à grains fins, idem pour les films
– – Petit foyer
– – Avec ou sans grille
– – DFF 1 m
– – Cotation : Z=38
– – Constantes : 65 kV 25 mAs
– INCIDENCES FONDAMENTALES
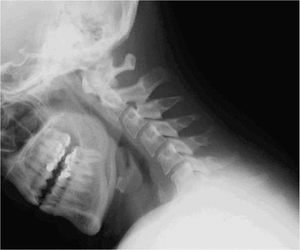
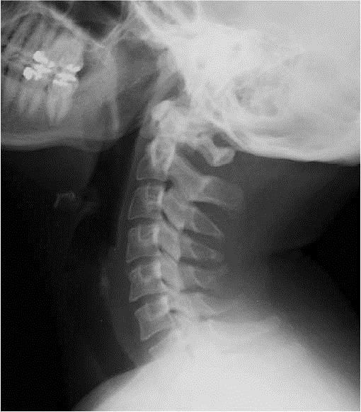
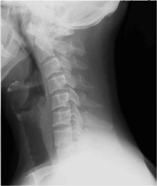
PROFIL
– – Le patient est assis ou debout
– – En profil droit ou gauche
– – La tête est en légère déflexion
– – Le plan sagittal médian du crane est dans le prolongement du crane
– – Les épaules sont tombantes
– – La cassette déborde au dessous des épaules
RAYON DIRECTEUR
– – Il est centré sur C4 (milieu de la ligne passant par le maxillaire inférieur et l’épaule)
VARIANTES
– – En décubitus dorsal : la cassette est verticale et posée contre l’épaule, on doit surélever la tête
CRITERES DE REUSSITE
– – On doit voir de C1 à C7
– – On doit voir les parties molles
– – Le bord postérieur des corps doit être superposé, donc non dédoublé
IMAGE NORMALE

RAYON DIRECTEUR
– – Il est ascendant de 15 à 20° en fonction de la lordose
– – Il est centré sur C6
VARIANTE
– – En postéro-antérieur, avec un rayon directeur ascendant
– – En décubitus dorsal
IMAGE NORMALE

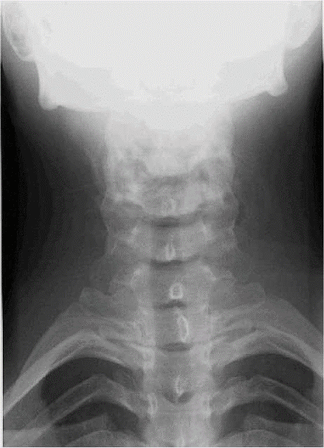
C1/C2 BOUCHE OUVERTE
– – Le patient est assis ou debout
– – Il est antéro-postérieur
– – Il doit ouvrir la bouche le plus possible
RAYON DIRECTEUR
– – Il est centré au raz des incisives supérieures
VARIANTES
– – En décubitus dorsal
OBLIQUES
– – Le patient est assis ou debout
– – En antéro-postérieur
– – Le patient est en oblique de 55 à 60° du coté opposé à explorer, en OPG on voit les trous de conjugaisons droits, et en OPD on voit les trous de conjugaisons gauches
RAYON DIRECTEUR
– – Il est ascendant de 20°
– – Il est centré à l’horizontale de la paume d’Adam, et à la verticale du CAE
VARIANTES
– – En postéro-antérieur, avec un rayon descendant
CRITERES DE REUSSITE
– – On doit voir les trous de conjugaisons bien ronds
IMAGE NORMALE

DROIT GAUCHE
– INCIDENCES COMPLEMENTAIRES
FLEXION/EXTENSION
– – 1 cliché de profil en flexion – – 1 cliché de profil en extension

FLEXION

EXTENSION
INCIDENCES DES APOPHYSES ARTICULAIRES INCIDENCE DE BUETTI
– – C’est une incidence symétrique
– – Le patient est assis ou debout
– – Il est tourné de 20° du coté que l’on veut explorer
RAYON DIRECTEUR
– – Il est descendant de 10°
– – Centré sur les apophyses articulaires
TOMOGRAPHIES DES CERVICALES
– – Permet la mesure du canal vertébral
– – Dans les bilans de traumatismes
– QUELQUES IMAGES PATHOLOGIQUES
FRACTURE DE L’EPINEUSE DE C1

ENTORSE CERVICALE (Inversion de la courbure physiologique)


















