I – RAPPELS ANATOMIQUES “Le Rachis Lombaire”
Les vertèbre lombaires sont au nombre de 5. L’étage lombaire est concave en arrière : c’est une lordose.
Repères anatomiques :
– – C4: ligne bi-crête
II – TECHNIQUES ET MATERIELS UTILISES
– – On utilise un cache plombé chez les jeunes garçons
– – Des sangles chez les sujets forts
– – On utilise le grand foyer
– – Des films et des écrans rapides ou standards
– – Cotation : Z=43 pour face et profil, Z=62 pour 2 segments contigus, Z=77 pour 2 segments non contigus
– INCIDENCES FONDAMENTALES
PROFIL
– – Le patient est positionné en rectitude de profil
– – Il est positionné en profil droit ou gauche
– – L’épaule est contre la table et le bassin contre la table
– – Les talons sont joints et en appuis symétrique
– – Le plan sagittal médian est parallèle au plan de la table
– – Les bras sont croisés en avant

RAYON DIRECTEUR
– – Il est centré sur L3 : c’est à dire 2 cm au- dessus des crêtes iliaques
VARIANTES
– – En décubitus latéral droit ou gauche avec l’aide

Décubitus dorsal, avec un rayon directeur
horizontal
CRITERES DE REUSSITE
– – On doit voir les 5 lombaires
– – Les disques doivent être enfilés
ANATOMIE RADIOLOGIQUE
- – Articulaire supérieure
- – Pédicule
- – Apophyse transverse
- – Articulaire inférieure
- – Epineuse
- – Bord postérieur du canal rachidien
- – Bord supérieur des lames
- – Bord inférieur des lames
- – Isthme

IMAGE NORMALE

FACE
– – Le patient est en position rectitude de face
– – Il est en antéro-postérieur
– – Le dos contre la plaque
– – Il est déchaussé, les talons contre le plan de la table
– – Il est debout
– – Le plan sagittal médian est perpendiculaire au

RAYON DIRECTEUR
– – Il est centré sur L3
VARIANTES
– – En postéro-antérieur, qui permet de mieux enfiler les interlignes
– – En décubitus dorsal, on soulève les jambes pour diminuer le lordose physiologique
CRITERES DE REUSSITE
– – On doit voir les 5 vertèbres
– – Les apophyses épineuses doivent être alignées
– – Les articulation inter-vertébrales doivent être bien enfilées
ANATOMIE RADIOLOGIQUE
- – Articulaire supérieure
- – Pédicule
- – Apophyse transverse
- – Articulaire inférieure
- – Epineuse
- – Bord postérieur du canal rachidien
- – Bord supérieur des lames
- – Bord inférieur des lames
- – Isthme
- – Trou de conjugaison
- – Disque inter-vertébral

IMAGE NORMALE

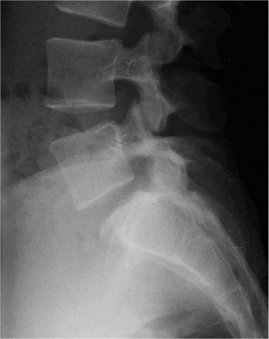
CHARNIERE LOMBO-SACREE
PROFIL
– – Le patient est positionné comme pour une lombaire de profil
RAYON DIRECTEUR
– – Il est centré 2 cm au-dessous de la crête iliaque, sur L5
INTERET
– – Cette incidence permet une mesure de l’angle du bord postérieur de L5 par rapport à l’horizontale : 25 à 30° (+/- 5°)
ANATOMIE RADIOLOGIQUE

- – Corps de L4
- – Corps de L5
- – Pédicule de L5
- – Apophyse de L5
- – Disque L5/S1
IMAGE NORMALE

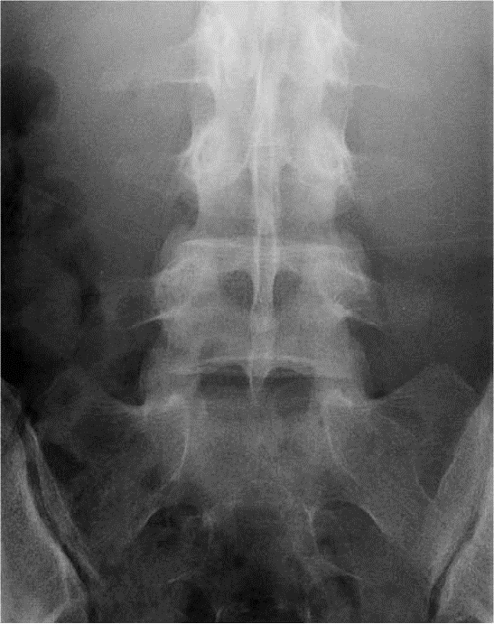
FACE
– – Le patient est positionné comme pour une face normale
RAYON DIRECTEUR
– – Il est ascendant de 25 à 30° et il est centré plus bas que pour le profil
VARIANTE
– – En décubitus dorsal
CRITERES DE REUSSITE
– – Le disques L5/S1 doit être enfilé
ANATOMIE RADIOLOGIQUE
- – Corps de L4
- – Corps de L5
- – Pédicule de L5
- – Apophyse transverse de L5
- – Apophyse épineuse de L5
- – 1er trou sacré
- – Apophyse articulaire de L5
- – Interligne de L5/S1

IMAGE NORMALE
– INCIDENCES COMPLEMENTAIRES
INCIDENCE DE DE SEZE
Incidence dorso-lombo-pelvi-fémorale
– – C’est une incidence postéro-antérieure
– – Le patient est en position verticale
RAYON DIRECTEUR
– – Il est horizontal
– – Centré sur L3
INTERET
– – Permet de calculer la bascule du bassin
– – C’est un cliché de 1ère intention
ANATOMIE RADIOLOGIQUE

OBLIQUE OU }
- – Corps vertébral
- – Pédicule
- – Apophyse transverse
- – Articulaire supérieure
- – Apophyse épineuse
- – Articulaire inférieure
- – Sacrum
C’est une incidence bilatérale
– – Le patient est debout
– – Il est en oblique postérieur droit puis gauche à
45°
RAYON DIRECTEUR
– – Il est centré sur L3 : 2 cm au-dessus de la crête iliaque et à la verticale du mamelon du coté surélevé
– – Il est horizontal
VARIANTE
En décubitus dorsal
– – Pour voir le petit chien de L5, on peut mettre le patient à 30° d’obliquité et le rayon directeur ascendant de 20°
CRITERES DE REUSSITE
– – On doit voir les petits chiens de la chapelle
ANATOMIE RADIOLOGIQUE

IMAGE NORMALE
- – Pédicule
- – Apophyse articulaire supérieure
- – Apophyse transverse
- – Apophyse articulaire inférieure
- – Isthme
- – Lame
- – Apophyse épineuse
- – arc opposé

OPD OPG
DYNAMIQUE
– – On peut réaliser des clichés en flexion extension de profil, et des cliché en inflexion latérale de face
















